曼荼羅波動療法の概要:新たな選択肢として
「曼荼羅波動療法」は、空海の智慧と量子力学の知見を応用し、身体が本来持つ「波動」の調和を取り戻すことを目指すアプローチです。宗教ではありません。
特定のエネルギーを持つ「曼荼羅カード」を使用し、「レヨテスト」という方法で患者さん一人ひとりに適したものを選びます。この療法は、特に癌の早期発見において注目されるほか、従来の治療法に限界を感じておられる方々にとって、検討しうる新たな選択肢となる可能性を秘めています。現在も研究と改良が続けられている、進歩し続ける療法です。
”曼荼羅波動療法”は、わかばクリニックの登録商標です。
大前提
大前提:1
量子力学(原子や原子よりも小さいクオークなどのミクロの世界を取り扱う力学のことです)によるといろいろな物の最小単位は「素粒子」(クオーク) です。
そしてこの「素粒子」は粒子としてかあるいは波としてか、この二つのどちらかの形で現れます。
さらに物質の波動理論は、光だけでなくすべての物質が波の性質を持っていることを示しています。
すべてが、つまり私たちの体もその一番小さな単位(今はやりの遺伝子よりもずっと小さい単位)が、波=振動=波動によって組み立てられているのなら、波=振動=波動を与えることによって「修理」することもできるというのは、容易に理解できます。
私たちの「曼荼羅波動療法」は、曼荼羅から取り出した波動(波・振動)を身体の一番小さな単位である素粒子に波及することで「修理」することができます。
大前提:2
量子力学によると「量子もつれ」と呼ばれる現象が知られています。
これは、二つの量子が「量子状態がお互いに強い相関」をもっている場合、どれほど離れた場所にあっても、瞬時に影響を与え合う現象です。「エンタングルメント」(量子もつれ)と呼ばれ、この理論は2022年ノーベル物理学賞しました。
そしてこの「量子もつれ」こそが私たちの曼荼羅波動療法における遠隔治療の基礎となっています。この「量子もつれ」が起こることで遠く離れた患者さんに曼荼羅カードの波動を瞬時に届けることができるというわけです。
大前提:3
「曼荼羅波動療法」は、宗教ではありません。
大前提:4
「曼荼羅波動療法」は現在の西洋医学では証明もされていませんし、認められていません。
1:はじめに
今をさること約1250年余り前(西暦774年)、全ての物語が幕を開けます。
ひとりの傑出した人物がこの世に出現しました。人類史上2億年に1人の逸材、誰あろう今回の物語の主役空海です。空海がいなければ「曼荼羅波動療法」も生まれることはありませんでした。空海が讃岐の国(香川県善通寺市)に生まれ、私もまた讃岐の国(香川県善通寺市)に生まれたことの因縁がこれからの長い物語の始まりでした。
空海が切り開いた四国八十八か所お遍路を「癌治療成就」を祈願しながら何かに導かれたようにめぐったのもついこの間のことのようです。このお遍路めぐりで夢の中で弘法大師様(空海・私たち地元の者は敬意を込めて弘法大師とお呼びします)に出会います。何も書かれていない納経帳を弘法大師様にお見せしたところ手元に戻されたときには全てのページに御朱印が記されていて驚いたこと。そして無限のエネルギーを生み出すプラグを譲られたこと。今思い返すと、弘法大師様がその後の進むべき道を示して頂いたことに感謝しかありません。
空海が2編の「曼荼羅」を用いて病気の治療を行ったことをヒントに「曼荼羅波動療法」が生まれてきたのです。空海は巨大な2編の曼荼羅「胎蔵界曼荼羅」と「金剛界曼荼羅」から治療に必要な波動を選び、これらの波動を天皇に流して治療を行ったと伝えられています。


この言い伝えを現代によみがえらせることが弘法大師の夢見以降、私の使命となりました。
私の使命への道は紆余曲折、行ったり来たりの繰り返しでした。
患者さんへの治療のための波動を流す装置には比較的早い時期に巡り合えました。(レヨコンプ)

このレヨコンプとの出会いから曼荼羅へとたどり着くには長い時間が必要でした。レヨコンプ固有の治療プログラムから始め、実際の薬を波動として使ったりもしました。やがて色彩療法と出会い色の波動を使うことにも目を向けました。
そのころには波動という目に見えないエネルギーが存在していて、はっきりと治療に役立つという確信を持つようになっていました。波動を調べていくと様々なものにエネルギーがあることが分かります。
そんな時、やはり何かに導かれるように東京の出版社からある先生の出版記念講演に招かれました。そこで初めて曼荼羅に出会ったのです。講演とは全く無関係な曼荼羅が壁に掛かっていました。何かに惹かれたように3種類の曼荼羅を注文して帰ったのです。1週間ほどして待ちに待った曼荼羅が届きました。
早速、波動を調べてみると2つの曼荼羅にはエネルギーがありますが残りの1つには残念ながらエネルギーはありませんでした。全ての曼荼羅に波動があるわけではなさそうです。そして2つの波動のある曼荼羅こそが今では慣れ親しんだ「胎蔵界曼荼羅」と「金剛界曼荼羅」でした。そこで、今度はネットで曼荼羅を数種類購入してみました。結果はNoでした。曼荼羅だったらなんでもよいというわけではないようです。私にとって最初に入手した曼荼羅がラッキーにもエネルギーのある曼荼羅だったというわけです。「求めよ、さらば与えられん」続きは、「尋ねよ、さらば見出さん。門を叩け、さらば開かれん」です。世の中、偶然の出会いはないとはよく言いますが、まさにその通りのようです。
2:曼荼羅波動療法
曼荼羅波動療法とは、空海が唐から持ち帰った曼荼羅から選び出した治療に必要な波動を曼荼羅カードにまとめ、この曼荼羅カードの波動を身体に流すことで身体の不具合を調整するものです。身体の一番小さな単位である素粒子の波動の不具合が知らず知らずのうちに現実世界の身体(マクロな世界)の不都合=病気となって現れます。この病気の本当の原因である素粒子の波動の不都合を曼荼羅から取り出した波動を共鳴現象を利用して波及させることで「調整=修理」することで正常な状態に復することを目指します。
本書の構成を3部作とします。第一部は曼荼羅波動療法の基本事項とそれに続く癌の早期発見。第二部が癌治療、そして第三部は癌以外の治療(花粉症から始まり、アトピー性皮膚炎、コロナ、コロナ後遺症、高血圧症、心筋梗塞、耳鳴り、難聴、めまい、自閉症等々これまで手掛けてきたそしてこれから手掛けるであろう全ての病気)。
曼荼羅波動療法と名づけた私たちの治療法が成し遂げた広範囲な分野での成果をまとめて後世に伝えることがこの世に生を受けた使命だと気づけたことに感謝して。
曼荼羅波動療法は言霊の進歩とレヨテストによる言霊から生み出された曼荼羅の検査がその両輪となり急速に改良されています。極端な話、1年前の曼荼羅波動療法からは思いもしないほどの進歩、変化があります。それがしかも治療効果にも直結していることが素晴らしい。
現代医療は原因を求めてマクロからミクロへとその視点を向けています。つまり体から細胞へ、細胞から遺伝子へとミクロな世界へと突き進んでいます。先へと進むにつれて枝分かれしていくのですから治療の方法は増えていく一方です。
それに対して、私たちの曼荼羅波動療法は、病気の原因を身体の一番小さな単位である素粒子の異常と考えていますので、治療法自体に大きな変化はありません。曼荼羅から取り出した波動(波・振動)を波及することで「修理」するこのひとつです。重要なことは、曼荼羅から治療に必要な波動を選ぶことです。曼荼羅から必要な波動を選ぶために様々な言葉を使いますが、この言葉たちのことを私たちは「言霊」と呼んでいます。この「言霊」選びは興味深いことにミクロの世界からマクロの世界へと言霊が紡がれていきます。つい最近もこんなことが起こりました。これまで必要だった2つの漢方薬の曼荼羅「白花蛇舌草」と「半枝蓮」が不要となりました。それと同時に癌の組織分類や癌の転移部の波動も言霊の進歩で不要となりました。乳癌の組織型の一つに「浸潤性乳管癌」があります。これまでは「浸潤性乳管癌」+「肺転移」+「白花蛇舌草」という組み合わせが「乳癌」+新たな言霊を使うことで「浸潤性乳管癌」+「肺転移」+「白花蛇舌草」という曼荼羅が不要となり、よりマクロな方向へと導かれていきます。薬もミクロへの入り口だったようです。過去には今使われている抗がん剤の曼荼羅も作ってみましたが、どれも途中で不要となっていました。進歩する言霊もよりマクロへと向かうものから選ぶのが正しい道のようです。選ぶべき言霊がマクロへ向かいますので、選ぶべき言霊の絶対数も少なくなり大きなグループに統合されていきます。
3:言霊と曼荼羅
癌治療のために曼荼羅波動療法を開始した経緯から、最も先を行くのが癌治療用曼荼羅です。一方で、その癌のための言霊を癌以外の病気にも使えることが分かっています。
ですから癌以外の病気に対する曼荼羅は癌に準じて作成すれば良いので、ほぼ全ての病気に対応できると思われます。
言霊にもおのずと方向性があります。曼荼羅波動療法の名の通り私たちのこの治療法の根本は空海が唐から持ち帰った曼荼羅にあります。ですから西洋世界のものより東洋世界のものの方がよりフィットします。代表的なものはピラミッドです。個人的にもピラミッドは大好きで高さ2mほどのものを何個も作ってきました。が、空海曼荼羅のための言霊にピラミッドとかピラミッドパワーといった言葉は適しません。私個人的にはとても残念で興味深いことですが。
実際に人のはいれるサイズのピラミッドの中では一部の曼荼羅の波動が消えてしまうことも分かっています。といった経験からこのピラミッド内で波動療法を行うという試みは頓挫したままとなっています。


4:基本事項
曼荼羅を選びだすのに必要な検査法としてレヨテストと呼ばれる方法を使っています。
レヨテストは一種のダウジングです。その先端の動きで様々な判定を行っていきます。
先端が円を描く=必要なもの=良いものと判定できます。これを曼荼羅に使えば、必要なもの=治療には必要なものとなります。
先端が縦揺れする=不要なもの=悪いものと判定できます。これも曼荼羅に使えば、不要なもの=治療には必要のないものとなります。
レヨテストと診断
・レヨテストと診断:レヨテストは縦揺れ・静止・円を描くの3種類の動きをします。このレヨテストの先端の動きで様々なことを知ることができます。レヨテストの動きは最初にお話しした通り、円を描くのは必要なものという原則があります。この原則はレヨテストを使用する状況で意味合いが変わってくることも覚えておいてください。病気の診断にレヨテストを使うと結果は円を描く、静止する、縦揺れするという3種類となります。円(〇)=必要=良好、縦揺れ(×)=不要=悪いと判定できます。静止(△)は円と縦揺れの中間で良くも悪くもないとなります。
こうして全身の臓器を調べると良いところと悪いところが判明します。そして癌は必ずこの縦揺れする臓器に含まれています。
私どもの「全身検査結果一覧表」では、レヨテストでの結果を〇、△、×でお知らせしています。癌検査はこの×のついた臓器に癌があるかないかを検査するというわけです。癌の検査がいかに簡単かお分かりいただけると思います。
その間に要する時間は5分足らずです。たった5分であなたの胃癌が分かるのです。
レヨテストと事前予測
事前予測も可能です。
曼荼羅波動療法の利点の一つに、治療結果を前もって予測できることがあります。Aの曼荼羅カードとBの曼荼羅カードの効果の予測をしてみます。円を描くと必要となりますが、AとBの二つの曼荼羅カードを比べてみるとA=B、A>B、A<Bのいずれかとなります。A=Bだと、効果は同等とみなして両方とも採用します。A>BはAの方が効果があるということでAを採用します。A<Bは反対にBの方が効果があるのでBを採用します。このように新しい曼荼羅カードができるたびに効果を比較して取捨選択を繰り返します。もう一度繰り返しますが、この検査は実際に治療に投入する前に行うことが可能です。治療に必要な「言霊」が思い浮かぶと、治療用曼荼羅カードを作ります。このカードの治療効果を予測できるというわけです。治療に使ってみて効果を判定するという従来の方法に比べていかに早く治療法が改善されていくかがお分かりいただけるかと思います。
このレヨテストは、曼荼羅カードを作成する以外に病気の検査にも使えますので、癌の早期発見でも主要な役割を果たします。
5:病気の波動の強弱について
病気にも簡単に治るものと簡単ではないものがあります。
曼荼羅波動療法では、ハーモナイズが必要なものとカードで十分なものに分けられます。
曼荼羅波動療法は「曼荼羅から作成したカード(曼荼羅波動カード略して曼荼羅カードと呼んでいます)の波動を身体に流す(波及する・ハーモナイズ)」方法です。
ハーモナイズが必要な病気の最強はやはり癌か?そして花粉症のようにカードを持つだけで簡単に症状が改善できる病気は病気の持つ負のエネルギーが小さいと考えられます。
6:曼荼羅波動療法の進歩の秘密
作成した曼荼羅の優劣を事前に判定できること そしてもう一つ、曼荼羅作成に使う言霊の一つ一つが明確な意味を持つので次のステップが予想しやすいということです。 ランダムに作りランダムに実践に投入するといった行き当たりばったりがここには存在しないためすごい勢いで開発が進み進歩しています。1年先にこの曼荼羅波動療法がどこへ到達しているかは誰にも想像もできません。
7:癌の早期発見
癌を早い時期に見つけるとことはむつかしいと思っていませんか?
曼荼羅の波動を使うととても早い時期に癌を見つけることができます。
私たちの癌検診は「癌一次検査」を行い、ここで癌の反応ありと診断されると「癌精密検査」へと進みます。
癌は早く発見すると、早く・簡単に治ります。「早期発見・早期治療」です。
でも早い時期に見つけても治らなければ意味はありません。とても早い時期って?
テロメアとインテグリン
どれくらい早い時期かを説明するために「テロメア」を使って説明してみましょう。
「テロメア」は染色体の末端にあるもので、細胞が1回分裂するたびに1ケ失われます。そしてテロメアが無くなればその細胞はもはや分裂できなくなり、細胞は死を迎えるのです。こうして多くの細胞が死滅すると人は死を迎えるのです。人の永遠のテーマ「不老不死」は叶わぬ夢と消えていきます。

ここでは波動を使って測定する「テロメア」の数値で説明してみます。
「テロメア」は、元気なほど数値は大きく20才では1000を超えています。
年齢と共に数値は小さくなり40才を過ぎると800あれば十分です。
無制限に分裂を続ける癌細胞のテロメアはどうなっているのでしょうか。癌細胞には「テロメアーゼ」という「テロメア」を再生する酵素があるので、細胞分裂しても「テロメア」は減らない=細胞分裂をいつまでも続けることができる(増殖がいつまでも続く)のです。健康な細胞にだけ「テロメラーゼ」が存在できるようになれば「不老不死」も夢では無くなるかもしれません??(いつの日か「不老不死」の曼荼羅カード作成可能となる?)
というわけで癌のテロメアは2000以上あります。「テロメア」は癌の部位と正常な部位とでは反比例することが分かっています。癌があれば癌の部位の「テロメア」は上がり、反対に正常な部位の「テロメア」は下がるのです。
私たちが普段「テロメア」の値と呼んでいるのは正常な部位の「テロメア」の値です。中指指尖部で測定しています。
超早期癌
この正常部位の「テロメア」、定期的に測定していると20下がると体のどこかに癌が見つかることがよくあります。私たちはこの時期の癌を「超早期癌」と呼んでいます。この「超早期癌」は最新の曼荼羅波動療法をもってすればたった1回の治療で「超早期癌」の反応は無くなり、「テロメア」の値も元に戻ります。
定期的とは週に1回、月に1回、3か月に1回、6カ月に1回、1年に1回の癌検診を行っています。本当の意味での「超早期癌」を見つけるには月に一度の癌検診が必要です。
癌は「超早期癌」のように早ければ早いほど簡単に良くなります。見つかるのが遅れれば必要な治療回数は1回が2回、2回が3回・・・数か月・・・年単位・・良くならない・・・となってしまいます。
「テロメア」の値が550以上あれば「早期癌」と呼んでいます。1~2か月で癌の反応は無くなります。
「テロメア」の値が550~500で通常の癌検診でラッキーな方は癌が見つかります。
「テロメア」の値が500以下になると癌検診で見つかるレベルまで癌は進行しています。
癌一次検査

癌精密検査
次に測定するのは癌本体のインテグリンです。インテグリンはテロメアとは反対に数値が高いほど癌は進行していて、数値が低いと非常に早い時期の癌といえます。そしてインテグリンが350以下の場合は癌ではないと判定されます。西洋医学的な検査で見つかる癌のインテグリンは800以上です。従ってインテグリンの数値が350~800の間にあれば癌は早期であり、このなかでも更に数値が低いものほど非常に早期であると言えます=超早期癌。
インテグリンの数値が低ければ低いほど「曼荼羅波動療法」による癌治療の回数は少なくて済みます。極端な患者さんではたった1回の「曼荼羅波動療法」で癌の反応が無くなることも珍しくありません。
インテグリンの棒表示

癌からの生還をより確実にするための秘訣
その1:超早期・早期発見
その2:不幸にも手術が必要だった方
癌治療はすべて終了し、癌は無くなったといわれた方もレヨテストによる検査をお受けください。本当は、最初の手術をお受けになった直後にレヨテストによる検査をお受けください。もし、レヨテストによる検査で癌の反応が無ければ本当の意味で「癌は無くなった」と言えます。それでも、半年ごとの定期検査をお勧めします。体の中の別なところに癌が見つかるかもしれません。
もし、この時点で癌の反応があれば即、曼荼羅波動療法をお勧めします。
8:癌検診の実際
実際の癌検診をモニターしてみましょう。
その1:最初に検査するのはテロメアの数値です。
中指の指尖部で測定します。テロメアは数値が高いほど健康で低いほど病気は深刻です。200から1000の間で調べます。まず、500のテロメアの探索棒を調べます。500より数値が大きいと癌があってもそれほど進行したものではないことが分かります。反対に500より低いと通常の西洋医学的な検査で見つかるほど癌が進行している恐れがあります。


その2:次に調べるのは癌の曼荼羅カードです。
この曼荼羅カードが円を描けば体のどこかに癌がある可能性が高くなります。

その3:癌の曼荼羅カードには全て・前葉・後葉・視床の4種類があります。
その2で最初に使ったのは全てと呼んでいる前葉+後葉+視床の3つを含んだものです。その3のステップでは前葉、後葉、視床のいずれかに反応がでるか調べるのです(円を描くもの=癌の反応ありとなります)。このステップで大まかな癌の部位が推測出来ます。前葉=いわゆる内臓としてイメージできるほとんどが含まれます。後葉=肺や脳など。視床=皮膚など。



その4:
いよいよ全身の臓器の検査に入ります。最初は曼荼羅カードを使わずに検査します。実際の身体ではなくアトラス(人体図)を使って検査します。アトラスを使うほうが実際の身体を調べるよりも異常のある臓器を正確に検知できます。この曼荼羅カードを使わない検査ではレヨテストは縦揺れ・静止・円のいずれかの動きをします。癌などの大きな異常がある場合にはレヨテストは縦揺れします=×となります。全身の臓器のアトラスを順番に検査します。×印のついた臓器に癌が隠れていることになります。(×印のついた臓器に必ずしも癌があるとは限りません)

その5:
✕のついた臓器のアトラスを最初の癌検査用カード(全て)を使ってレヨテストで調べてみます。これでレヨテストが円を描けばその臓器に癌があると判定されます。
その6:
複数の臓器で✕となった場合には、それぞれの臓器に癌の曼荼羅を使ってレヨテストを行い円を描いた臓器に癌があることが分かります。例えば癌検査用曼荼羅(全て)が肺、肝臓で円を描いたとします。これらの部位に癌の反応があるということです。分かりやすく肺では肺癌、肝臓では肝臓癌の曼荼羅カードでもってレヨテストを行います。これらの曼荼羅カードで円を描けばそのカードの癌ということです。例えば肺で肺癌のカードが円を描けば肺癌であると言えます。一方、肺に癌の反応(癌検査用カード(全て))があっても肺癌のカードが円を描かなければ肺癌ではない、どこか他の部位からの肺転移と考えます。この癌の反応がある肺を肝臓癌の曼荼羅カードで調べてレヨテストが円を描けば肝臓癌の肺転移ということになります。とっても単純明快です。
その7:アトラス上で癌のある部位を描写
例えば膵臓癌の場合、膵臓のアトラス上で「曼荼羅波動療法・膵臓癌」の曼荼羅カードが円を描く範囲に膵臓癌の反応があると判定します。
その8:
癌の曼荼羅カードで描いた輪郭の内側に今度は曼荼羅を持たずにレヨテストが縦揺れするところを描写します。これが最も癌の真のサイズに近くなります。
膵臓癌 初診時データ


その9:インテグリンの測定
癌のある臓器のアトラスを使って癌のインテグリンを測定します。
インテグリンの値が350以上あれば癌が疑われます。
進行した癌のインテグリンは800~820くらいです。
ですので、インテグリンが350に近くの値であれば極早期癌であり、曼荼羅波動療法をもってすれば1~2回の治療で癌の反応は無くなります。逆にインテグリンが800を超えれば治療の回数も多く必要となります。

9:治療の実際
9-1:ハーモナイズ(治療用の波動を患者さんに流す)
曼荼羅の波動を患者さんにどうやって流すかも非常に重要なポイントです。曼荼羅が生み出す無尽蔵の波動エネルギーが目の前にあることは分かっています。問題はこの無尽蔵の波動エネルギーをいかにして患者さんに流せば良いのでしょうか。一つの答えは既にあります。バイオレゾナンスの装置(レヨコンプ) を使うのです。この装置を使えば目の前にある波動を患者さんに流せるのです。もう一つが霊気と呼ばれている気のエネルギーを使う方法です。曼荼羅の波動エネルギーを霊気のエネルギーに乗せて患者さんに流すのです。実際にはこの二つの方法を使うことで非常に効率的に波動を患者さんに伝えることができます。

9-2:治療用の曼荼羅カード
曼荼羅から選び出した沢山の波動を一つにまとめたものを曼荼羅カードと呼んでいます。実際の治療には「乳癌」+「乳腺」といった具合に様々な曼荼羅カードを組み合わせて使います。曼荼羅カードは意味を持った言霊で選んだ仏様から成っていますので、組み合わせを選ぶにも更に新しい曼荼羅カードを作成するにも明確な意図をもって進むことが出来るのです。この言霊から生み出される曼荼羅カードこそが、私たちの「曼荼羅波動療法」の中核を成しています。
癌と関連する波動 電磁波ストレス・ジオパシックストレス・放射能ストレス・交感神経過多など
次第に明確になっていく放射能の影響。放射能の影響を確認するための放射能ストレスとなずけた曼荼羅カード。明らかに福島県を中心に「放射能ストレス」に反応する患者さんが多い。よく言われるように甲状腺癌の患者さんに「放射能ストレス」が反応しますが、甲状腺癌以外の部位の癌でも「放射能ストレス」が反応します。治療には「甲状腺癌」+「放射能ストレス」という組み合わせが重要となります。
9-3:通常の曼荼羅波動療法
治療に必要な曼荼羅カードの波動をバイオレゾナンスの装置(PS1000)と霊気の2種類の方法で椅子に座った状態の患者さんの身体に流すことで効果を生み出します。

9-4:遠隔治療
曼荼羅波動療法は、遠隔治療にも適しています。通常の曼荼羅波動療法と遠隔での曼荼羅波動療法とで、その治療効果にほとんど差がないことも分かっています。
私たちの遠隔治療の理論的な裏付けも量子力学の中に示されています。
「量子もつれ」(エンタングルメント)と呼ばれる現象です。それは二つの量子が「量子的な相関」を持っている場合、どれほど離れた場所にあっても、一方の状態を観測すれば、他方の状態も分かるというものです。これが遠隔でも診断ができる根拠となっています。更に話を進めれば一方の量子に波を当てて共鳴が起これば他方の量子にも共鳴が起こりうることが予測されます。しかも二つの量子がどれだけ離れた場所にあっても起こるとは、絵にかいた様な遠隔治療の説明そのものです。
曼荼羅波動療法の波動は全身に波及しますので癌がどこにあっても治療が可能です。
このことは特に進行癌にとって最も重要なことです。
10:癌の進行スピードと治療効果
癌は常に進行していますので、末期に近い癌ほど進行スピードは猛烈に早いのが常です。図の様に進行スピードが速いと治療効果も進行スピードを遅らせることはできても、癌を小さくすることは難しくなります。

テロメアとステージ分類
分かりやすく癌のステージ分類を例に治療効果を説明してみましょう。

この表は、
テロメアが300以上あれば癌からの生還の可能性が高く、
250~300だと生還の可能性は半々、
200~250だと生還はとても厳しいことを示しています。
10-1:進行癌治療の考え方
まず目指すのは「癌との共存」です。
進行癌の方には2週間ほどの短期集中治療で癌の防御壁を破壊を試みることも一つの方法です。
11:治療パターン
- 毎日(週に5回)
- 2日に1回(週に3回)
- 週に2回
- 週に1回
- 1週間ごとに直接治療と遠隔治療を交互に繰り返す
12:治療効果
- 治療効果は治療頻度に比例します
- 直接治療>=遠隔治療>波動転写水
※波動転写水:曼荼羅カードの波動を「月のしずく」という名水に転写したもの。治療のできない日に補助的に飲んでいただく。
13:効果判定
- レヨテストによる効果判定
- アトラス上への描写
- 写真上への描写
- 西洋医学的な効果判定(必ず必要です)
- 血液検査(腫瘍マーカー等)
- CT・MRI・超音波検査 他
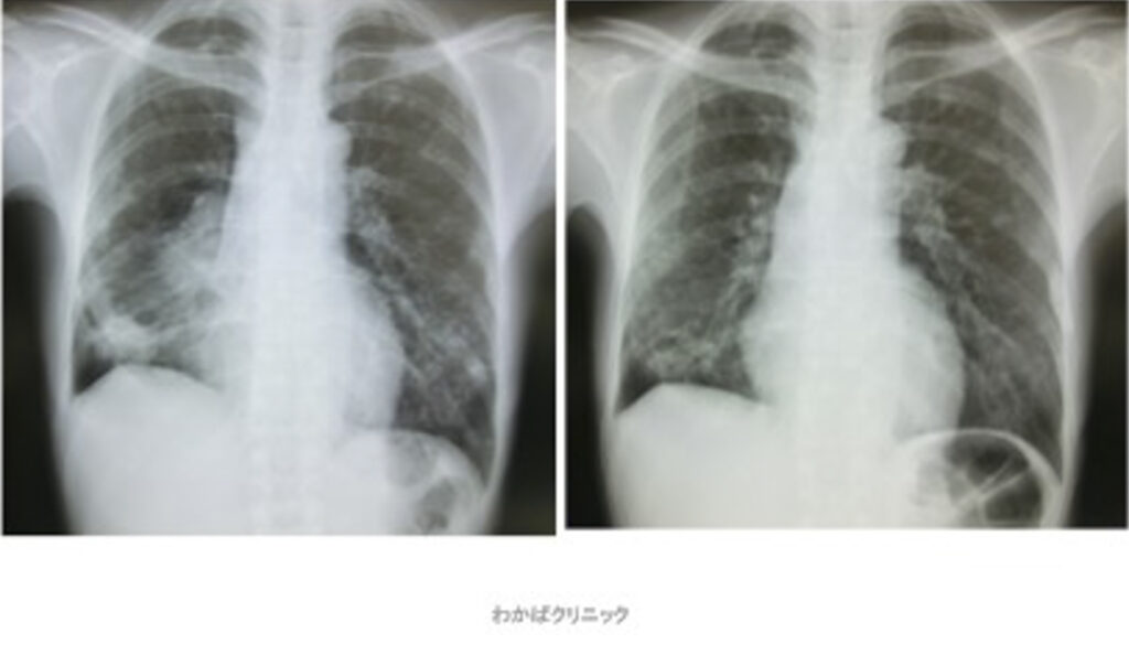
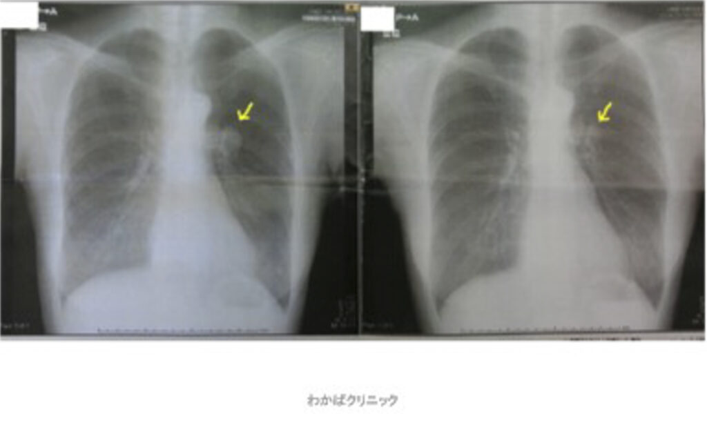
14:治療データ








15:癌以外の病気に対する曼荼羅波動療法
波動療法の最初の成功体験が「花粉症」でした。まだ曼荼羅と出会う以前のことです。この頃は「自律神経免疫療法」という鍼灸でいうところの「刺絡」法で主にアレルギー性疾患(花粉症やアトピー性皮膚炎など)を主に治療していました。刺絡療法はアレルギー性疾患にとても有効でしたので、アレルギー性疾患の患者さんには一番に勧めていました。ところがある日のこと、注射針で刺すのが痛くてとても我慢できないと言われる患者さんが現れました。(実際自分で受けてみると何とも言えず痛いのです。刺絡療法での最初の成功体験が10歳のお子さんだったこともあり、単純に10歳の子供にも耐えられますと説明していました)痛いのがイヤと言われて困ってしまいました。そこで思いついたのがレヨコンプPS1000でした。実のところPS1000を手に入れたは良いが、この装置をどう使ったら良いか思案していたところでした。痛いのがイヤな患者さんを前にアイデアが浮かびました。刺絡療法をレヨコンプで置き換えるというものです。レヨコンプにはいわゆるツボ(経絡)の波動(周波数)が内蔵されています。花粉症に使う刺絡療法のツボの周波数をレヨコンプで流してみるとういわけです。この試みは、大成功に終わりました。花粉症は劇的に改善したのです。レヨコンプによる治療の可能性を確信した瞬間でした。ビギナーズラックとはよく言ったものです。ついでアトピー性皮膚炎までは同様な方法で成功しましたが、それ以降は悪戦苦闘が続きます。色彩療法にも取り組みましたが、とても大変で放棄。特に癌治療はお手上げでした。使うべきはレヨコンプと分かっているのに、肝心な効果的な波動が見つかりません。本当に片っ端からレヨコンプにかけて流してみました。そんな中、曼荼羅に出会い、八十八か所お遍路巡りに出かけ、空海との夢見を経て曼荼羅波動療法が始まったのです。まず曼荼羅波動療法で手掛けたのは既に成功体験のあった「花粉症」と「アトピー性皮膚炎」でした。その頃はまだ癌治療は遥か遠く「癌治療成就」祈願の段階でした。「花粉症」「アトピー性皮膚炎」の治療用曼荼羅も今振り返ってみると、現在の曼荼羅カードに比べいかにも稚拙なものでしたが、とりあえず効果が確認でき、前に向いての一歩を踏み出したのでした。それ以降、「癌治療成就」を目指して癌治療用の新しい言霊が浮かぶたびに曼荼羅の更新につぐ更新が始まりました。一つの曼荼羅が仕上がったと思ったら、次の言霊が浮かぶというサイクルの繰り返しです。何十回となく新たな言霊に導かれ続けています。
この間に分かったことがあります。治療に使う言霊は、癌も癌以外の病気も同じということです。まず、癌治療用曼荼羅カードを仕上げて(癌の種類は主なものは20種類ほどですので有限ですし、仕上げるのに急を要します)から、時間を見つけては癌以外の病気に取り組まなければなりません。それでも、患者さんの要望に応えながらコツコツと作り続けた癌以外の病気の曼荼羅カードも結構な種類となっています。曼荼羅カードにない病気にお悩みの方のために、ご相談頂ければ新しく曼荼羅カードをお作りします。
患者さんとのやり取り (2025/10/15)
2025/10/15 9:08
藤田先生。
おはようございます。
今度は私が、早朝から目眩、吐き気、嘔吐で横になっております。
元々数年前に突発性難聴で耳鼻科と、藤田先生にも治療をしていただき、期間が長く掛かりメヌエル病と診断されメチコバールなど飲んだりしており、ほぼ完治しておりました。
今朝方吐き気でおき、目眩に気づき、嘔吐で、その後爆睡して気づいたら今でした。起き上がるとまだ吐き気とぐるぐる回る感覚があります。
2025-10-15 9:37
今日、最新のめまいの曼荼羅が仕上がりますので、遠隔しておきましょうか?
2025-10-15 10:46
でき次第、遠隔しておきます。
2025-10-15 13:01
びっくりです。劇的に吐き気が止まり、目眩は多少残っておりますが、先程まで目を動かす度に吐き気が襲ってきたのに、おさまっております。
ありがとうございますm(_ _)m
現時点で(2025年10月)言霊は一応完成したと思っていますが、いつ再び新しい言霊が湧いてくるかもしれません。その時は、また言霊に導かれて次のステップに上るだけです。これまでもずっとそうしてきたのですから。・・・と思っていた矢先、これまで手も足も出なかった痛みの治療に光が・・・・梨状筋症候群で痛みがひどく歩くのにも難儀していた患者さんがたった3回の遠隔治療で痛み無く歩けるようになりました。痛みにも本腰を入れて言霊を考えなければと思う今日この頃です。
癌以外で治療効果が見込まれる病気は花粉症から始まり、アトピー性皮膚炎、コロナ、コロナ後遺症、高血圧症、心筋梗塞、耳鳴り、難聴、めまい、胃潰瘍、自閉症等々これまで手掛けてきたそしてこれから手掛けるであろう全ての病気
曼荼羅カード
・癌以外の病気は、ほとんどの場合曼荼羅カードを持っていただくことで対応が可能です。例えば花粉症の場合だと「花粉症」+「眼疾患」+「鼻疾患」+「咽頭疾患」+「アレルギー性疾患」+「粘膜疾患」のカードがすべてです。花粉症がそれほどひどくない場合には「花粉症」のカード1枚でOKです。まず、病名と一致する曼荼羅カードを持っていただき、効果が十分でなければ追加して関連する「疾患」のカードを持ってみてください。これでも波動が不十分な方は直接か遠隔の曼荼羅波動療法をご検討ください。癌以外の病気のカードは「曼荼羅カード」の項をご覧ください。
花粉症の曼荼羅カードです。
人気No1の曼荼羅カードです。これさえあれば、花粉症にさよならできるかも・・・

16:コロナも曼荼羅カードで対応
世界中を震わせたコロナですが、現在は「オミクロンの変異株」として蔓延しています。冬だけでなく夏にも流行しますので苦労します。
2025年10月現在、流行しているのはオミクロンNB.1.8.1です。これも半年から1年もすれば次の変異株に移行しますので大変。曼荼羅カードも最新のものに順次変更お願いします。おすすめは「オミクロンNB.1.8.1」+「オミクロン抗体」の組み合わせです。「オミクロン抗体」の曼荼羅カードは不変ですので、こちらだけでもある程度の効果は期待できます。
もしコロナにかかってしまったら、迷わず遠隔治療をお受けください。現時点では(2025年10月現在)、3日の遠隔治療でコロナの反応は無くなります。
このほかに「コロナ感染後遺症」や「コロナワクチン後遺症」などは曼荼羅カードよりも曼荼羅波動療法を直接お受けになられるか、遠隔治療をお受けください。単なるコロナ感染症よりも、病気の波動が強力ということだと思われます。

17:病気の本質に迫る
治療用の曼荼羅を使うとその曼荼羅が体のどの部位に作用しているかが分かります。 例えば乳癌の場合を例にとると、乳癌の曼荼羅カードで乳腺を調べると乳癌のある部位でレヨテストが円を描きます。これと同じことが病気の主要部位の分からない病気、例えば自閉症だと松果体で円を描き、コロナ後遺症なら脳神経核付近(頭痛の原因)とか気管支付近(咳の原因)で円を描くといった具合に治療の必要な主要部位が分かります。

病気の部位が分かれば治療に「自閉症」+「松果体」という具合に組み合わせが必要だと分かり大助かりです。
霊障のある方、除霊の必要な方は主な病気の部位は偏桃体です。
先ほど紹介した「めまい」と「吐き気」の両方の症状がでたような場合、めまいに関係する前庭神経核と吐き気に関係する迷走神経核が脳幹の中で非常に近い位置にあることで説明可能になります。

18:携帯電話と電磁波
携帯電話から有害な電磁波が出ていることは、皆さん何となく聞いたことがあるでしょう。目に見えるところでは、電磁波過敏症の患者さんは携帯電話を持つと気分が悪くなるとか、左の胸のポケットに入れると不整脈が起こるなどの異常が見受けられます。
携帯電話から有害な波動(=電磁波)はレヨテストで調べれば一目瞭然です。
携帯電は待ち受け状態でもレヨテストは既に縦揺れします(縦揺れ=悪=×)。
電話が着信状態でベルが鳴り始めると縦揺れも激しくなります。

更に携帯電話が進歩して使用する電波の周波数は飛躍的に高くなり今や5G。
有害な電磁波は飛躍的に増加します。そして電磁波の強さは距離の2乗に反比例しますので、耳に近ければ近いほどマイナスのエネルギーが飛躍的に増加するというわけです。ワイヤレスイヤホンを使っても携帯電話のマイナスエネルギーはイヤホンを介して飛んできます。
防御方法は曼荼羅カードの仲間「電磁波防止シール」です。
これも携帯電話の進歩と共に何度も新しく作り直さなくてはなりませんでした。
携帯電話の背面に貼っておけば、コーヒーのマイナスエネルギーもこの上にカップを10秒乗せるだけでOKです。
エネルギーシールによる効果比較検証

